진료과/센터
임플란트란?
임플란트 치료란?
특수 금속(타이타늄)으로 만들어진 인공치아(임플란트)을 상실된 치아부위의 잇몸 뼈에 식립하고 그 위에 인공치아를 장착하여 수복하는 치료방법으로 본래 자기 치아와 가장 유사한 형태와 기능을 회복할 수 있는 치료방법입니다.
임플란트의 구성
임플란트는 크게 3가지 구조물로 구성되어 있습니다.
- 임플란트 매식체(Fixture) : 잇몸뼈에 식립되는 나사 모양의 인공 치근부분을 말합니다.
- 임플란트 지대주(Abutment) : 매식체와 상부 보철물을 연결하여주는 부분으로 매식체 위에 고정되어 상부 보철물을 지지하게됩니다.
- 상부 보철물 : 씹는 기능을 담당할 치아보철물로 크라운(눈에 보이는 치아부분)에 해당합니다.
임플란트 모식도
임플란트의 적응증과 금기증
임플란트는 아래의 금기증이 아니면 치아보철이 필요한 모든 경우에 식립이 가능합니다. 아래의 금기증에 해당하는 경우에는 담당 선생님과 세심한 상담이 필요합니다.
- 심각한 심혈관 질환을 가진 환자
- 조절되지 않는 대사성 질환(예: 조절되지 않는 당뇨병)
- 턱뼈에 방사선 치료를 받은 환자
- 알코올과 약물중독이 있는 경우
- 심각한 정신질환
- 임산부
- 개구 제한이 있는 경우
- 기타 발치 수술을 받지 못할 전신적인 질환이 있는 경우
이 외에도 잇몸뼈의 높이나 넓이가 부족하거나, 뼈의 질이 좋지 않은 경우 또는 보철할 공간이 부족한 경우 상대적으로 임플란트 식립이 어려울 수 있으나 임플란트 수술 전 골이식을 통해 부족한 골양을 보강하여 임플란트 식립이 가능할 수 있으니 담당선생님과 상담이 필요합니다.
임플란트 진료 상담시 당뇨, 고혈압, 골다공증, 심장질환, 혈전용해제 복용 여부, 기타 약물에 대한 부작용등의 경력이 있는 경우 이에 대해 고지해주시면 안전한 임플란트 수술에 큰 도움이 됩니다.
임플란트 치료를 위한 검사
임플란트 치료를 위해서는 기본적인 전신질환 유무와 같은 문진 및 구강 검사 외에도 임플란트 식립 부위의 골의 양과 질적인 평가를 하고 정확한 임플란트 식립 위치의 예측을 위해 구강내 및 구강외 방사선 사진 혹은 단층촬영(CT) 등이 필요합니다. 특히 CT 영상은 임플란트 식립부위의 골이 부족한 경우 골 이식할 부위의 정확한 해부학적인 영상을 제공함으로써 골이식술의 예후를 향상시킬 수 있습니다. 또한 임플란트 식립 위치를 가이드하는 스텐트(stent)를 미리 제작하여 CT 촬영할 때 구강내에 장착하여 촬영하면 더 정확한 임플란트 식립 위치 및 길이를 결정할 수 있습니다. 이외에도 임플란트 수술과 관련된 전신질환을 갖고 있는 환자의 경우 내과적 검사 및 혈액검사를 시행하기도 합니다.
임플란트시술을 위한 CT영상의 예 임플란트의 치료과정
임플란트 치료과정은 우선 임플란트 매식체를 잇몸뼈에 심어주는 1/2차 수술과정과 치유 후 식립된 임플란트 매식체에 치아를 만들어주는 보철과정으로 구성됩니다.
- 1차 수술
외과적 술식을 통해 치아 뿌리 형태의 임플란트 매식체를 치조골에 식립합니다. - 2차 수술
식립된 매식체가 치조골에 단단하게 엉겨 붙도록 2~6개월(환자분의 뼈의 질에 따라 다릅니다.)을 기다린 후 간단한 잇몸절개 후 임플란트와 보철물을 연결하는 지대주를 연결합니다. - 치아보철
상부구조물인 치아보철을 만들어 넣습니다.
임플란트 식립은 1회 수술법 또는 2회 수술법으로 식립할 수 있으며, 뼈가 부족한 경우 뼈이식을 통하여 뼈의 양과 높이를 늘린 후 임플란트 치료를 진행하는 경우도 있습니다.
- 1회 수술법
임플란트의 상단부가 1차 수술시 잇몸 밖으로 노출되도록 하는 방법으로 한번의 수술로 끝나는 장점이 있습니다. 하지만 임플란트가 뼈와 유착되는 동안 혀와 음식물 등으로부터 외력을 받는 단점이 있어서 골질이 좋지 않은 경우는 시행이 어렵습니다. - 2회 수술법
1차수술로 임플란트를 잇몸속 뼈에 우선 묻어두고 일정기간의 치유후에 2차수술을 통해 구강내로 노출시키는 방법입니다. 2번 수술하는 번거로움이 있지만 임플란트가 뼈속에서 치유되는 동안 외부의 힘이 전달되지 않아 치유가 안정적인 장점이 있어서, 골질이 좋지 않아 1차수술시 임플란트가 안정되지 않는 경우 시행하는 방법입니다.
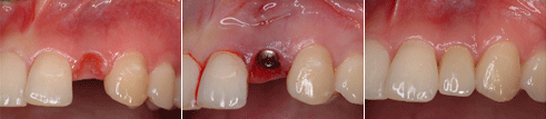
상실된 앞니부위에서 1회법으로 임플란트를 식립하고 회복한 증례
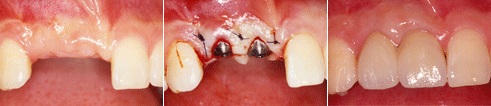
상실된 두 개의 앞니를 2개의 임플란트를 식립하여 회복한 증례
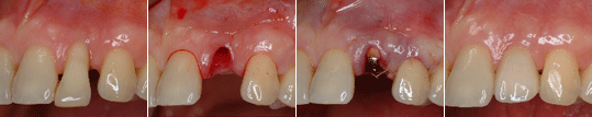
상한 앞니를 발거하고 즉시 임플란트를 식립하여 회복한 증례 임플란트 식립을 위한 골 증대술
선천적 골결손, 외상이나 노화로 인해 잇몸뼈의 양이 적은 경우, 잇몸질환 등으로 잇몸뼈의 파괴가 심각한 경우에는 임플란트를 식립하기 전에 또는 식립과 동시에 뼈의 높이나 폭을 증가시켜야 하는 경우도 있습니다. 이식되는 뼈는 자가골과 인공골이 있으며 통상 자가골이 가장 좋은 이식효과가 있어 임플란트 수술을 하면서 인접한 잇몸뼈에서나, 아래턱의 앞 또는 뒤부분 그리고 위턱의 가장 뒷부분 등 뼈의 양이 풍부한 곳에서 자가골을 채취하고 양이 부족한 경우 인공골을 섞어서 사용합니다. 많은 양의 뼈가 필요한 경우에는 전신 마취하에 장골 (골반뼈)에서 골을 채취하여 이식하기도 합니다.
- 골이식과 골재생유도술식
자가골을 이용해 골이식술을 시행하는 경우 부족한 골양과 이식하는 부위의 특성에 따라 자가골 덩어리로 이용하는 경우도 있고 0.2-0.5mm 작은 골조각으로 분쇄하여 이식에 사용하기도 합니다. 또한 골생성을 유도하고 촉진하기 위해서 골이식재 상방으로 차폐막을 설치하기도 합니다. 차폐막은 저절로 흡수되는 것을 많이 사용하지만, 골이식이 많이 필요한 경우 흡수되지 않은 것을 사용하여 2차 수술때 제거하기도 합니다.
상한 앞니를 발거하고 즉시 임플란트를 식립하여 회복한 증례 - 상악동 거상술을 통한 골 이식술
위턱에 잇몸뼈가 많이 흡수되어 상악동(코 양쪽에 공기가 차있는 공간)과의 거리가 가까워 임플란트 식립이 어려운 경우 상악동 내에 골 이식술을 시행하여 임플란트 식립을 위한 충분한 골을 확보하기도 합니다. 이 경우 상악동에 있는 점막을 들어올리고 점막과 상악동 바닥 사이에 골이식을 하고 임플란트를 식립할 수 있습니다. 상악동 측벽에 조그마한 창문을 만들고 상악동 바닥을 덮고 있는 점막을 상방으로 거상하여 그 사이에 뼈를 이식하는 방법이 있습니다. 6-9개월 후 뼈가 아문 뒤 임플란트를 식립하게 됩니다. 잔존하고 있는 잇몸뼈의 양에 따라 뼈이식과 동시에 임플란트를 식립하기도 합니다.
상악동 거상술을 이용한 골 이식술과 임플란트 식립 도해
상악동 거상술을 이용한 골 이식술과 임플란트 식립 증례
임플란트 식립 후 유지 관리방법
임플란트는 자연치아와 비슷하여 구강관리를 소홀히 하는 경우 자연치아와 마찬가지로 임플란트 주위염이 발생할 수 있습니다. 따라서 철저한 위생관리는 임플란트 치료와 잔존 자연치를 보존하기 위해서 필수적입니다. 평소 꼼꼼한 양치 및 치실, 치간치솔을 이용하여 구강을 청결히 유지하고 정기적으로 치과에 방문하여 구강 상태 및 임플란트의 상태를 확인하는 것이 중요합니다.
임플란트 수술 후 주의 사항
- 약
수술 후 감염예방과 진통 목적으로 처방하였으므로 약은 반드시 처방대로 모두 드십시오. 만일 약으로 인한 부작용(알레르기, 심한 소화장애 및 설사 등)이 나타나면 즉시 복용을 멈추고 연락 주십시오. - 부기
수술 부위는 경우에 따라서 심하게 붓기도 합니다. 수술 후, 비닐봉지 등에 얼음을 넣고 수건으로 싸서 너무 차갑지 않게 한 후, 수술 부위에 10분 찜질, 10분 쉬는 방식으로 수술 후 1-2일 동안 얼음찜질을 해 주시기 바랍니다. - 출혈
수술 부위에서 출혈이 계속되는 경우, 입안에 거즈를 물고 1시간 쯤 출혈부위를 압박해 주십시오. 만일, 위의 처치에도 불구하고 출혈이 계속되거나 과다하게 출혈이 되면 즉시 내원해주시기 바랍니다. - 오한
수술 당일에는 오한과 허약해진 느낌이 들 수 있습니다. 충분한 휴식과 안정이 필요하므로 수술 후 이틀 까지는 운동과 목욕탕(사우나) 이용을 삼가야 합니다. 그러나 샤워정도는 가능합니다. - 칫솔질
수술 부위를 제외한 모든 부위에 대해 정상적인 칫솔질을 하십시오. - 구강 양치액
수술부위에 칫솔질 하지 않는 대신에 입안 소독목적으로 1일 2-3회, 1회에 1분간 머금고 있다가 뱉어내십시오. - 음식물, 담배
수술 당일에는 지혈을 위해 뜨거운 음식을 삼가는 것이 좋습니다. 술, 담배 자극성이 있는 음식물은 수술 부위에 스며들어가 해로운 작용을 합니다. 특히 흡연은 수술부위의 치유를 방해합니다. - 기타
수술 후 찬 것에 민감한 반응이 나타날 수 있는데 이때는 당분간 미지근한 물을 사용하시기 바랍니다. 이러한 지각과민은 지속되다가 향후 서서히 감소합니다.








